Telerradiologia
Caso Clínico Músculo Esquelético
31 de agosto de 2025

História clínica
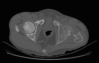
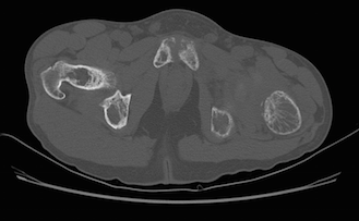
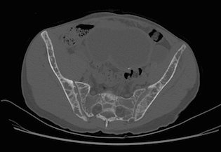
Paciente de 25 anos, do sexo masculino, vítima de acidente automobilístico há 60 dias, evoluindo com dor de forte intensidade na coxa esquerda.



Laudo
Alteração difusa do trabeculado ósseo em toda a região avaliada, associada a focos de reabsorção óssea subcondral na sínfise púbica e na borda anterior das sacroilíacas, relacionados à doença de base (hiperparatireoidismo).
Associam-se sinais de fratura patológica no colo do fêmur esquerdo, com reabsorção óssea junto ao foco de fratura e desalinhamento entre os fragmentos, com sinais de derrame articular do quadril homolateral, de aspecto reacional.
